CelebridadesCuriosidadeEsporteEventos GeralMundo MúsicaObrasPatrocinadosPolíciaPolíticaSaúdeSocial Tecnologia
Curiosidade

Homem vai parar no hospital após inserir uma escova de dente no órgão sexual

11 de Julho de 2024 às 16:50

Homem vai parar no hospital após inserir uma escova de dente no órgão sexual
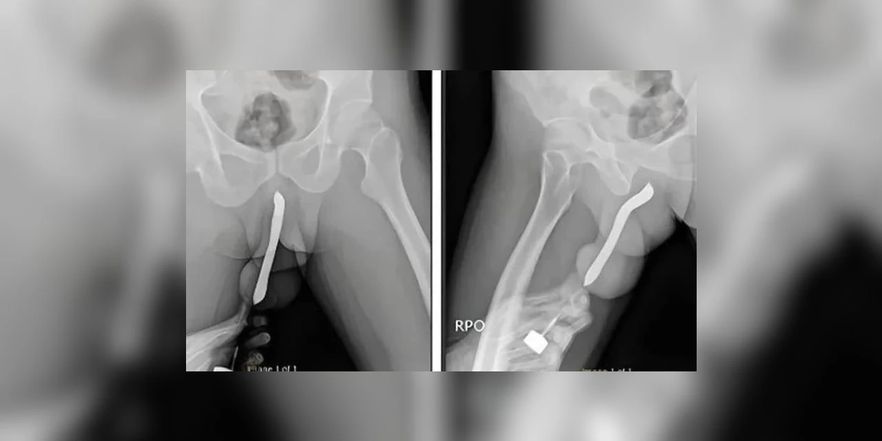
Revista 'International Journal of Surgery Case Reports'. - Foto: Reprodução / Redes Sociais
Um um indonésio, de 43 anos, sofreu uma fratura no pênis após inserir uma escova de dentes no órgão para “satisfação sexual”. O caso foi relatado em um estudo publicado através de canais de comunicação.

O paciente, cuja identidade não foi revelada, chegou ao pronto-socorro aproximadamente doze horas após o incidente. Ele havia inserido a escova de dentes no pênis durante uma relação sexual, resultando na quebra do objeto.

Surpreendentemente, não foi a primeira vez que o homem se envolveu em tal prática. Segundo o relatório, ele tinha um histórico de autoinserção de escovas de dentes no dorso e ventre do pênis desde 2017.

O homem teria chegado no local apresentando sintomas como dor, inchaço e hematoma. Após a comprovação do objeto em seu corpo, ele passou por uma cirurgia de remoção e conseguiu se recuperar, recebendo alta três dias depois de ter realizado todo o procedimento.

No mês seguinte, ele relatou aos médicos a ausência de qualquer deformidade e contou que continuou seguir com sua vida sexual de forma normal.

O caso destaca um comportamento de risco e práticas sexuais potencialmente perigosas que podem levar a lesões graves. A autoinserção de objetos estranhos no trato genital pode resultar em complicações significativas, incluindo fraturas, infecções e danos aos órgãos internos.

É importante destacar a necessidade de educação sexual e conscientização sobre práticas seguras para evitar incidentes desse tipo. Além disso, o relato sublinha a importância da intervenção médica imediata diante de lesões genitais para garantir um tratamento adequado e prevenir complicações adicionais.

Compartilhe:

Enviar no Whatsapp

Leia também

Jovem de 19 anos é internado após desodorante ficar preso no ânus; veja foto

Fale conosco

redacao@agora1.info

Previsão do Tempo

Carregando...

Cotação A1

Carregando...

10+ Lidas

1.

Prefeitura abre cadastramento de condomínios para aprimorar a coleta seletiva em Ponta Grossa

2.

Lula passará por cirurgia de catarata no olho esquerdo nesta sexta

3.

Mala com R$ 1,7 milhão é interceptada a caminho de Brasília

4.

Lula passará por cirurgia de catarata no olho esquerdo nesta sexta

5.

Ingressos à venda para Operário x Azuriz pelas quartas de final do Campeonato Paranaense

6.

Conselho LGBT debate diversidade para as escolas de PG

7.

Prefeitura anuncia nova frente de asfalto para o Núcleo Santa Tereza

8.

Gusttavo Lima faz show de 3 horas para multidão de 265 mil pessoas na praia de Matinhos

9.

Prefeitura confirma retorno do ‘Feira Verde’ para a próxima segunda

10.

Jovem de 19 anos é internado após desodorante ficar preso no ânus; veja foto

Institucional

  • Anuncie Conosco
  • O Portal

Categorias

Redes Sociais

Hospedado por CloudFlash
Desenvolvido por Flize Tecnologia